CBD For Coronavirus? New Study Adds Evidence For Cannabis As Covid-19 Treatment

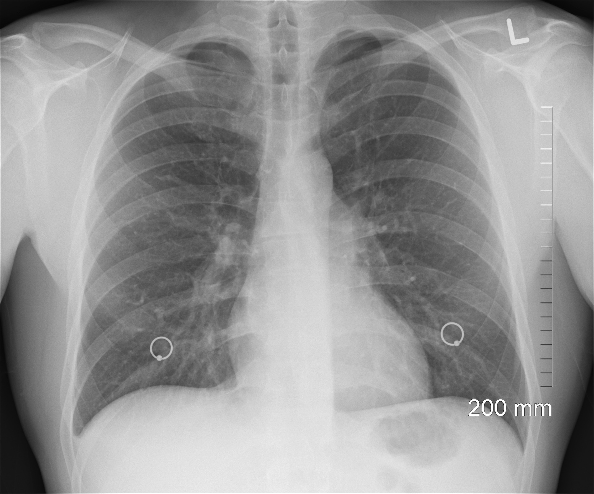
Researchers from Georgia are studying whether CBD may be able to reduce symptoms of acute respiratory distress syndrome in COVID-19 patients. Preliminary research on mice suggests that CBD may be able to reduce pro-inflammatory cytokine production to fight lung inflammation. Read the complete story, CBD For Coronavirus? New Study Adds Evidence For Cannabis As Covid-19 Treatment, on the Forbes website.

Chest X-Ray